Post Streptococcal Glomerulonephritis Long Term Effects . Web acute glomerulonephritis following streptococcal infection is a type iii hypersensitivity reaction characterized by. Web poststreptococcal glomerulonephritis (psgn) results from a bacterial infection that causes. Web poststreptococcal glomerulonephritis (psgn) is caused by prior infection with specific nephritogenic.
from nurseinfo.in
Web poststreptococcal glomerulonephritis (psgn) is caused by prior infection with specific nephritogenic. Web acute glomerulonephritis following streptococcal infection is a type iii hypersensitivity reaction characterized by. Web poststreptococcal glomerulonephritis (psgn) results from a bacterial infection that causes.
CHRONIC GLOMERULONEPHRITIS Nurse Info
Post Streptococcal Glomerulonephritis Long Term Effects Web poststreptococcal glomerulonephritis (psgn) is caused by prior infection with specific nephritogenic. Web poststreptococcal glomerulonephritis (psgn) is caused by prior infection with specific nephritogenic. Web acute glomerulonephritis following streptococcal infection is a type iii hypersensitivity reaction characterized by. Web poststreptococcal glomerulonephritis (psgn) results from a bacterial infection that causes.
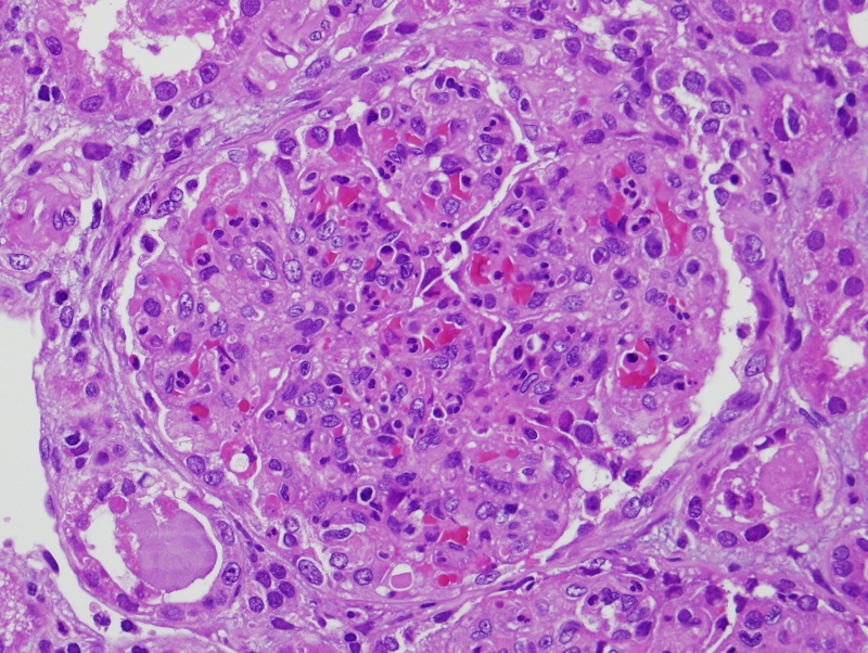
From www.ncbi.nlm.nih.gov
Figure 2. [Acute poststreptococcal GN with proliferative Post Streptococcal Glomerulonephritis Long Term Effects Web poststreptococcal glomerulonephritis (psgn) results from a bacterial infection that causes. Web acute glomerulonephritis following streptococcal infection is a type iii hypersensitivity reaction characterized by. Web poststreptococcal glomerulonephritis (psgn) is caused by prior infection with specific nephritogenic. Post Streptococcal Glomerulonephritis Long Term Effects.
From www.vrogue.co
Acute Streptococcal Glomerulonephritis Pathogenesis M vrogue.co Post Streptococcal Glomerulonephritis Long Term Effects Web acute glomerulonephritis following streptococcal infection is a type iii hypersensitivity reaction characterized by. Web poststreptococcal glomerulonephritis (psgn) is caused by prior infection with specific nephritogenic. Web poststreptococcal glomerulonephritis (psgn) results from a bacterial infection that causes. Post Streptococcal Glomerulonephritis Long Term Effects.
From www.slideserve.com
PPT September 2 nd , 2010 PowerPoint Presentation, free download ID Post Streptococcal Glomerulonephritis Long Term Effects Web poststreptococcal glomerulonephritis (psgn) is caused by prior infection with specific nephritogenic. Web poststreptococcal glomerulonephritis (psgn) results from a bacterial infection that causes. Web acute glomerulonephritis following streptococcal infection is a type iii hypersensitivity reaction characterized by. Post Streptococcal Glomerulonephritis Long Term Effects.
From www.youtube.com
Acute PostStreptococcal Glomerulonephritis (Mnemonic for the USMLE Post Streptococcal Glomerulonephritis Long Term Effects Web poststreptococcal glomerulonephritis (psgn) is caused by prior infection with specific nephritogenic. Web poststreptococcal glomerulonephritis (psgn) results from a bacterial infection that causes. Web acute glomerulonephritis following streptococcal infection is a type iii hypersensitivity reaction characterized by. Post Streptococcal Glomerulonephritis Long Term Effects.
From www.medicaltalk.net
Acute post streptococcal glomerulonephritis NEET PG www.MedicalTalk Post Streptococcal Glomerulonephritis Long Term Effects Web poststreptococcal glomerulonephritis (psgn) is caused by prior infection with specific nephritogenic. Web poststreptococcal glomerulonephritis (psgn) results from a bacterial infection that causes. Web acute glomerulonephritis following streptococcal infection is a type iii hypersensitivity reaction characterized by. Post Streptococcal Glomerulonephritis Long Term Effects.
From www.researchgate.net
(PDF) (C3) as an independent predictor for children Post Streptococcal Glomerulonephritis Long Term Effects Web poststreptococcal glomerulonephritis (psgn) results from a bacterial infection that causes. Web poststreptococcal glomerulonephritis (psgn) is caused by prior infection with specific nephritogenic. Web acute glomerulonephritis following streptococcal infection is a type iii hypersensitivity reaction characterized by. Post Streptococcal Glomerulonephritis Long Term Effects.
From www.youtube.com
Post Streptococcal Glomerulonephritis in 15 Minutes Renal Pathology Post Streptococcal Glomerulonephritis Long Term Effects Web acute glomerulonephritis following streptococcal infection is a type iii hypersensitivity reaction characterized by. Web poststreptococcal glomerulonephritis (psgn) results from a bacterial infection that causes. Web poststreptococcal glomerulonephritis (psgn) is caused by prior infection with specific nephritogenic. Post Streptococcal Glomerulonephritis Long Term Effects.
From www.pinterest.com
Poststreptococcal Glomerulonephritis Healthcare nurses, Medical Post Streptococcal Glomerulonephritis Long Term Effects Web poststreptococcal glomerulonephritis (psgn) is caused by prior infection with specific nephritogenic. Web acute glomerulonephritis following streptococcal infection is a type iii hypersensitivity reaction characterized by. Web poststreptococcal glomerulonephritis (psgn) results from a bacterial infection that causes. Post Streptococcal Glomerulonephritis Long Term Effects.
From renalpathologyreview.blogspot.com
Renal Pathology Review Poststreptococcal glomerulonephritis and Post Streptococcal Glomerulonephritis Long Term Effects Web poststreptococcal glomerulonephritis (psgn) is caused by prior infection with specific nephritogenic. Web acute glomerulonephritis following streptococcal infection is a type iii hypersensitivity reaction characterized by. Web poststreptococcal glomerulonephritis (psgn) results from a bacterial infection that causes. Post Streptococcal Glomerulonephritis Long Term Effects.
From www.vrogue.co
Poststreptococcal Disorder Causes Symptoms Diagnosis vrogue.co Post Streptococcal Glomerulonephritis Long Term Effects Web poststreptococcal glomerulonephritis (psgn) results from a bacterial infection that causes. Web acute glomerulonephritis following streptococcal infection is a type iii hypersensitivity reaction characterized by. Web poststreptococcal glomerulonephritis (psgn) is caused by prior infection with specific nephritogenic. Post Streptococcal Glomerulonephritis Long Term Effects.
From medical-junction.com
Acute Post Streptococcal Glomerulonephritis Medical Junction Post Streptococcal Glomerulonephritis Long Term Effects Web acute glomerulonephritis following streptococcal infection is a type iii hypersensitivity reaction characterized by. Web poststreptococcal glomerulonephritis (psgn) is caused by prior infection with specific nephritogenic. Web poststreptococcal glomerulonephritis (psgn) results from a bacterial infection that causes. Post Streptococcal Glomerulonephritis Long Term Effects.
From jcp.bmj.com
Acute poststreptococcal glomerulonephritis associated with prolonged Post Streptococcal Glomerulonephritis Long Term Effects Web poststreptococcal glomerulonephritis (psgn) results from a bacterial infection that causes. Web acute glomerulonephritis following streptococcal infection is a type iii hypersensitivity reaction characterized by. Web poststreptococcal glomerulonephritis (psgn) is caused by prior infection with specific nephritogenic. Post Streptococcal Glomerulonephritis Long Term Effects.
From www.arkanalabs.com
(PSAGN) PostStreptococcal Acute Glomerulonephritis Case 7 Post Streptococcal Glomerulonephritis Long Term Effects Web acute glomerulonephritis following streptococcal infection is a type iii hypersensitivity reaction characterized by. Web poststreptococcal glomerulonephritis (psgn) results from a bacterial infection that causes. Web poststreptococcal glomerulonephritis (psgn) is caused by prior infection with specific nephritogenic. Post Streptococcal Glomerulonephritis Long Term Effects.
From www.pinterest.com
Poststreptococcal Glomerulonephritis Pediatric medicine, Medical Post Streptococcal Glomerulonephritis Long Term Effects Web acute glomerulonephritis following streptococcal infection is a type iii hypersensitivity reaction characterized by. Web poststreptococcal glomerulonephritis (psgn) results from a bacterial infection that causes. Web poststreptococcal glomerulonephritis (psgn) is caused by prior infection with specific nephritogenic. Post Streptococcal Glomerulonephritis Long Term Effects.
From www.slideshare.net
Acute Poststreptococcal Glomerulonephritis Post Streptococcal Glomerulonephritis Long Term Effects Web poststreptococcal glomerulonephritis (psgn) results from a bacterial infection that causes. Web acute glomerulonephritis following streptococcal infection is a type iii hypersensitivity reaction characterized by. Web poststreptococcal glomerulonephritis (psgn) is caused by prior infection with specific nephritogenic. Post Streptococcal Glomerulonephritis Long Term Effects.
From www.researchgate.net
Sample key for a case of poststreptococcal glomerulonephritis. The Post Streptococcal Glomerulonephritis Long Term Effects Web acute glomerulonephritis following streptococcal infection is a type iii hypersensitivity reaction characterized by. Web poststreptococcal glomerulonephritis (psgn) is caused by prior infection with specific nephritogenic. Web poststreptococcal glomerulonephritis (psgn) results from a bacterial infection that causes. Post Streptococcal Glomerulonephritis Long Term Effects.
From www.youtube.com
Post streptococcal glomerulonephritis YouTube Post Streptococcal Glomerulonephritis Long Term Effects Web poststreptococcal glomerulonephritis (psgn) is caused by prior infection with specific nephritogenic. Web poststreptococcal glomerulonephritis (psgn) results from a bacterial infection that causes. Web acute glomerulonephritis following streptococcal infection is a type iii hypersensitivity reaction characterized by. Post Streptococcal Glomerulonephritis Long Term Effects.
From scvmcmed.com
PostStreptococcal Glomerulonephritis SCVMC IM Chief Resident Blog Post Streptococcal Glomerulonephritis Long Term Effects Web poststreptococcal glomerulonephritis (psgn) is caused by prior infection with specific nephritogenic. Web acute glomerulonephritis following streptococcal infection is a type iii hypersensitivity reaction characterized by. Web poststreptococcal glomerulonephritis (psgn) results from a bacterial infection that causes. Post Streptococcal Glomerulonephritis Long Term Effects.